WI-38细胞专用培养基
|
|
|
- CAS号:
- 英文名:
- WI-38 cell-specific medium
- 英文别名:
- 中文名:
- WI-38细胞专用培养基
- 中文别名:
- WI-38细胞专用培养基
- CBNumber:
- CB15530329
- 分子式:
- 分子量:
- 0
- MOL File:
- Mol file
|
|
|
WI-38细胞专用培养基性质、用途与生产工艺
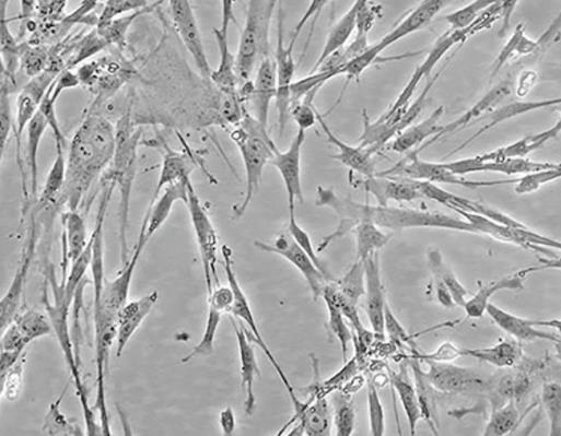
WI-38细胞专用培养基可保持WI38/VA13细胞最佳的生长状态。WI-38细胞是从女性高加索人的正常胚肺组织中获得的一株人2倍体细胞系。它的培增时间为2Rh,有限寿命为Sd代。它是成纤维细胞,能产生胶原。WI-38细胞是首株用于人类疫苗制备的人二倍体细胞系,培养液中添加TNF-α可以促进WI-38细胞生长。

WI-38细胞专用培养基可保持WI-38细胞最佳的生长状态。本产品中已包含WI-38细胞生长所需的各种成分,无需添加任何成分,可直接用于WI-38细胞的体外培养。本产品仅供进一步科研使用,不得用于诊断、治疗、临床、家庭及其它用途。
WI-38细胞专用培养基可保持WI38/VA13细胞最佳的生长状态。本产品中已包含WI38/VA13细胞生长所需的各种成分,无需添加任何成分,可直接用于WI38/VA13细胞的体外培养。
WI-38细胞专用培养基
上下游产品信息
上游原料
下游产品