Phospho-TrkA/B (Tyr490/Tyr516)兔单抗,Phospho-TrkA/B (Tyr490/Tyr516) Rabbit Monoclonal Antibody
  • Phospho-TrkA/B (Tyr490/Tyr516)兔单抗,Phospho-TrkA/B (Tyr490/Tyr516) Rabbit Monoclonal Antibody

Phospho-TrkA/B (Tyr490/Tyr516) Rabbit Monoclonal Antibody | 兔单抗 | EnkiLife恩玑生命

价格 询价
包装 1支
最小起订量 1支
发货地 湖北
更新日期 2025-11-13
微信洽谈

产品详情

中文名称:Phospho-TrkA/B (Tyr490/Tyr516)兔单抗英文名称:Phospho-TrkA/B (Tyr490/Tyr516) Rabbit Monoclonal Antibody
品牌: EnkiLife产地: 中国
产品类别: 抗体
是否进口: 用途: 科研
2025-11-13 Phospho-TrkA/B (Tyr490/Tyr516)兔单抗 Phospho-TrkA/B (Tyr490/Tyr516) Rabbit Monoclonal Antibody 1支/RMB EnkiLife 中国 抗体

产品概述

产品名称(Product Name)

Phospho-TrkA/B (Tyr490/Tyr516) Rabbit Monoclonal Antibody

描述(Description)

Rabbit Monoclonal antibody

宿主(Host)

Rabbit

应用(Application)

WB

种属反应性(Reactivity)

Human,Mouse,Rat

 

产品性能

偶联物(Conjugation)

Unconjugated

修饰(Modification)

Phosphorylated

同种型(Isotype)

IgG

克隆(Clonality)

Monoclonal Antibody

形式(Form)

Liquid

存放说明(Storage)

Store at 4°C short term. Aliquot and store at -20°C long term. Avoid freeze/thaw cycles.

储存溶液(Buffer)

50mM Tris-Glycine(pH 7.4), 0.15M NaCl, 40% Glycerol, 0.01% Sodium azide and 0.05% BSA

纯化方式(Purification)

Affinity Purification

 

免疫原

基因名(Gene Name)

NTRK2

别名(Alternative Names)

NTRK2; TRKB; BDNF/NT-3 growth factors receptor; GP145-TrkB; Trk-B; Neurotrophic tyrosine kinase receptor type 2; TrkB tyrosine kinase; Tropomyosin-related kinase B

基因ID(Gene ID)

4915

蛋白ID(SwissProt ID)

Q16620

 

产品应用

稀释比(Dilution Ratio)

WB: 1:500-1:1000

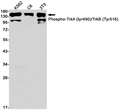
蛋白分子量(Molecular Weight)

Calculated MW: 92 kDa; Observed MW: 140 kDa

 

研究背景

The family of Trk receptor tyrosine kinases consists of TrkA, TrkB and TrkC. While the sequence of these family members is highly conserved, they are activated by different neurotrophins: TrkA by NGF, TrkB by BDNF or NT4, and TrkC by NT3. TrkA regulates proliferation and is important for development and maturation of the nervous system. Point mutations, deletions and chromosomal rearrangements (chimeras) cause ligand-independent receptor dimerization and activation of TrkA.

 

研究领域

Neuroscience

关键字: NTRK2;Phospho-TrkA/B;(Tyr490/Tyr516);Rabbit;Monoclonal;Antibody;一抗

公司简介

武汉恩玑生命科技有限公司(EnkiLife)是一家深耕生命科学,专注细胞生物学和免疫学科研试剂的研发、生产与销售的生物技术企业,在全球100多个国家和地区开展业务,致力于为科研工作者提供高质量的产品和卓越的客户服务,推动生命科学的发展。 EnkiLife的产品线涵盖细胞系、原代细胞、细胞培养基、血清、细胞检测试剂盒、重组靶点蛋白、细胞因子、重组抗体、ELISA试剂盒、生化试剂盒等,并提供技术服务与定制开发,覆盖了生命科学研究的各大关键领域,包括细胞生物学、癌症、免疫学、神经科学、心血管疾病、干细胞、表观遗传学、内分泌、蛋白质组学、代谢组学等,全方位满足您的实验需求,让您享受科研的乐趣! 公司现已建立四大技术平台: EnCyto?细胞培养及检测平台:拥有细胞系库(500+)、原代细胞库(500+)、基础培养基和完全培养基(1200+) EnkiPro?重组蛋白平台:现货产品2000+,可提供定制化表达服务 EnAb?重组抗体平台:重组兔单抗(3000+),可提供定制化和标记服务 EnKits?试剂盒开发平台:可提供优质的ELISA试剂盒、配套试剂、抗体对、生化试剂盒等相关产品 EnkiLife在生产管理方面引入ISO9001质量管理体系和信息化、自动化的管理工具,拥有高效稳定的交付能力,与全球知名品牌建立了紧密的合作。 EnkiLife始终坚持以技术创新为驱动,以匠心铸就品质,以品质服务客户。 我们期待与更多的全球科研工作者和企业携手合作,共同推动生命科学领域的进步与发展。
成立日期 2024-08-02 (2年) 注册资本 271万人民币
员工人数 10-50人 年营业额 ¥ 100万-300万
主营行业 生化试剂,抗体,细胞培养,癌症研究,细胞生物学 经营模式 工厂,试剂,定制,服务
  • 武汉恩玑生命科技有限公司
VIP 1年
  • 公司成立:2年
  • 注册资本:271万人民币
  • 企业类型:有限责任公司(自然人投资或控股)
  • 主营产品:细胞系;原代细胞;培养基;血清;细胞荧光染料;重组蛋白;抗体;标记试剂盒;WB试剂盒;IHC试剂盒;ELISA试剂盒;生化试剂盒
  • 公司地址:东湖新技术开发区高新大道666号C6栋
询盘

Phospho-TrkA/B (Tyr490/Tyr516) Rabbit Monoclonal Antibody | 兔单抗 | EnkiLife恩玑生命相关厂家报价

产品名称 价格   公司名称 报价日期
询价
VIP1年
上海切尔齐生物科技有限公司
2025-06-03
¥1280
VIP4年
上海沪震实业有限公司
2025-11-13
询价
北京百奥莱博科技有限公司
2025-11-09
内容声明:
以上所展示的信息由商家自行提供,内容的真实性、准确性和合法性由发布商家负责。 商家发布价格指该商品的参考价格,并非原价,该价格可能随着市场变化,或是由于您购买数量不同或所选规格不同而发生变化。最终成交价格,请咨询商家,以实际成交价格为准。请意识到互联网交易中的风险是客观存在的
主页 | 企业会员服务 | 广告业务 | 联系我们 | 旧版入口 | 中文MSDS | CAS Index | 常用化学品CAS列表 | 化工产品目录 | 新产品列表 |投诉中心
Copyright © 2008 ChemicalBook 京ICP备07040585号  京公海网安备110108000080号  All rights reserved.