MSK1 (phospho Ser212)兔多抗,MSK1 (phospho Ser212) Rabbit Polyclonal Antibody
  • MSK1 (phospho Ser212)兔多抗,MSK1 (phospho Ser212) Rabbit Polyclonal Antibody
  • MSK1 (phospho Ser212)兔多抗,MSK1 (phospho Ser212) Rabbit Polyclonal Antibody
  • MSK1 (phospho Ser212)兔多抗,MSK1 (phospho Ser212) Rabbit Polyclonal Antibody

MSK1 (phospho Ser212) Rabbit Polyclonal Antibody | 兔多抗 | EnkiLife恩玑生命

价格 询价
包装 1支
最小起订量 1支
发货地 湖北
更新日期 2025-10-20
微信洽谈

产品详情

中文名称:MSK1 (phospho Ser212)兔多抗英文名称:MSK1 (phospho Ser212) Rabbit Polyclonal Antibody
品牌: EnkiLife产地: 中国
保存条件: Store at 4°C short term. Aliquot and store at -20°C long term. Avoid freeze/thaw cycles.产品类别: 抗体
用途: 科研是否进口:
2025-10-20 MSK1 (phospho Ser212)兔多抗 MSK1 (phospho Ser212) Rabbit Polyclonal Antibody 1支/RMB EnkiLife 中国 Store at 4°C short term. Aliquot and store at -20°C long term. Avoid freeze/thaw cycles. 抗体

产品概述

产品名称(Product Name)

MSK1 (phospho Ser212) Rabbit Polyclonal Antibody

描述(Description)

Rabbit Polyclonal Antibody

宿主(Host)

Rabbit

应用(Application)

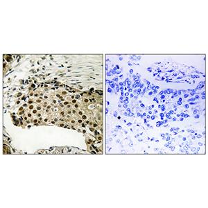
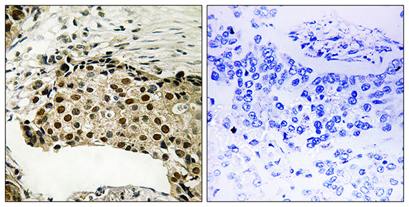
WB,IHC-P,IF-P,IF-F,ICC/IF,ELISA

种属反应性(Reactivity)

Human,Mouse

 

产品性能

偶联物(Conjugation)

Unconjugated

修饰(Modification)

Phospho Antibody

同种型(Isotype)

IgG

克隆(Clonality)

Polyclonal

形式(Form)

Liquid

存放说明(Storage)

Store at 4°C short term. Aliquot and store at -20°C long term. Avoid freeze/thaw cycles.

储存溶液(Buffer)

Liquid in PBS containing 50% glycerol, 0.5% BSA and 0.02% New type preservative N.

纯化方式(Purification)

Affinity purification

 

免疫原

基因名(Gene Name)

RPS6KA5

别名(Alternative Names)

RPS6KA5; MSK1; Ribosomal protein S6 kinase alpha-5; S6K-alpha-5; 90 kDa ribosomal protein S6 kinase 5; Nuclear mitogen- and stress-activated protein kinase 1; RSK-like protein kinase; RSKL

基因ID(Gene ID)

9252

蛋白ID(SwissProt ID)

O75582

 

产品应用

稀释比(Dilution Ratio)

WB 1:500-1:2000, IHC-P 1:100-1:300, ELISA 1:40000, IF-P/IF-F/ICC/IF 1:50-200

蛋白分子量(Molecular Weight)

90kDa

 

研究背景

catalytic activity:ATP + a protein = ADP + a phosphoprotein.,cofactor:Magnesium.,enzyme regulation:Appears to be activated by multiple phosphorylations on threonine and serine residues. ERK1/2 and MAPK14/p38-alpha may play a role in this process.,function:Serine/threonine kinase required for the mitogen or stress-induced phosphorylation of the transcription factors CREB (cAMP response element-binding protein) and ATF1 (activating transcription factor-1). Essential role in the control of RELA transcriptional activity in response to TNF. Directly represses transcription via phosphorylation of 'Ser-1' of histone H2A. Phosphorylates 'Ser-10' of histone H3 in response to mitogenics, stress stimuli and epidemal growth-factor (EGF), which results in the transcriptional activation of several immediate early genes, including proto-oncogenes c-fos/FOS and c-jun/JUN. May also phosphorylate 'Ser-28' of histone H3. Mediates the mitogen- and stress-induced phosphorylation of high mobility group protein 14 (HMG-14).,miscellaneous:Enzyme activity requires the presence of both kinase domains.,PTM:Ser-376 and Thr-581 phosphorylation is required for kinase activity. Ser-376 and Ser-212 are autophosphorylated by the C-terminal kinase domain, and their phosphorylation is essential for the catalytic activity of the N-terminal kinase domain.,similarity:Belongs to the protein kinase superfamily. AGC Ser/Thr protein kinase family. S6 kinase subfamily.,similarity:Contains 1 AGC-kinase C-terminal domain.,similarity:Contains 2 protein kinase domains.,subcellular location:Predominantly nuclear. Partially cytoplasmic.,subunit:Forms a complex with either ERK1 or ERK2 in quiescent cells which transiently dissociates following mitogenic stimulation. Also associates with MAPK14/p38-alpha. Activated RPS6KA5 associates with and phosphorylates the NF-kappa-B p65 subunit RELA.,tissue specificity:Widely expressed with high levels in heart, brain and placenta. Less abundant in lung, kidney and liver.,catalytic activity:ATP + a protein = ADP + a phosphoprotein.,cofactor:Magnesium.,enzyme regulation:Appears to be activated by multiple phosphorylations on threonine and serine residues. ERK1/2 and MAPK14/p38-alpha may play a role in this process.,function:Serine/threonine kinase required for the mitogen or stress-induced phosphorylation of the transcription factors CREB (cAMP response element-binding protein) and ATF1 (activating transcription factor-1). Essential role in the control of RELA transcriptional activity in response to TNF. Directly represses transcription via phosphorylation of 'Ser-1' of histone H2A. Phosphorylates 'Ser-10' of histone H3 in response to mitogenics, stress stimuli and epidemal growth-factor (EGF), which results in the transcriptional activation of several immediate early genes, including proto-oncogenes c-fos/FOS and c-jun/JUN. May also phosphorylate 'Ser-28' of histone H3. Mediates the mitogen- and stress-induced phosphorylation of high mobility group protein 14 (HMG-14).,miscellaneous:Enzyme activity requires the presence of both kinase domains.,PTM:Ser-376 and Thr-581 phosphorylation is required for kinase activity. Ser-376 and Ser-212 are autophosphorylated by the C-terminal kinase domain, and their phosphorylation is essential for the catalytic activity of the N-terminal kinase domain.,similarity:Belongs to the protein kinase superfamily. AGC Ser/Thr protein kinase family. S6 kinase subfamily.,similarity:Contains 1 AGC-kinase C-terminal domain.,similarity:Contains 2 protein kinase domains.,subcellular location:Predominantly nuclear. Partially cytoplasmic.,subunit:Forms a complex with either ERK1 or ERK2 in quiescent cells which transiently dissociates following mitogenic stimulation. Also associates with MAPK14/p38-alpha. Activated RPS6KA5 associates with and phosphorylates the NF-kappa-B p65 subunit RELA.,tissue specificity:Widely expressed with high levels in heart, brain and placenta. Less abundant in lung, kidney and liver.,

 

研究领域

Insulin Receptor; Regulates Angiogenesis; MAPK_ERK_Growth;MAPK_G_Protein; B Cell Receptor; AMPK

关键字: RPS6KA5;MSK1;(phospho;Ser212);Rabbit;Polyclonal;Antibody;一抗

公司简介

武汉恩玑生命科技有限公司(EnkiLife)是一家深耕生命科学,专注细胞生物学和免疫学科研试剂的研发、生产与销售的生物技术企业,在全球100多个国家和地区开展业务,致力于为科研工作者提供高质量的产品和卓越的客户服务,推动生命科学的发展。 EnkiLife的产品线涵盖细胞系、原代细胞、细胞培养基、血清、细胞检测试剂盒、重组靶点蛋白、细胞因子、重组抗体、ELISA试剂盒、生化试剂盒等,并提供技术服务与定制开发,覆盖了生命科学研究的各大关键领域,包括细胞生物学、癌症、免疫学、神经科学、心血管疾病、干细胞、表观遗传学、内分泌、蛋白质组学、代谢组学等,全方位满足您的实验需求,让您享受科研的乐趣! 公司现已建立四大技术平台: EnCyto?细胞培养及检测平台:拥有细胞系库(500+)、原代细胞库(500+)、基础培养基和完全培养基(1200+) EnkiPro?重组蛋白平台:现货产品2000+,可提供定制化表达服务 EnAb?重组抗体平台:重组兔单抗(3000+),可提供定制化和标记服务 EnKits?试剂盒开发平台:可提供优质的ELISA试剂盒、配套试剂、抗体对、生化试剂盒等相关产品 EnkiLife在生产管理方面引入ISO9001质量管理体系和信息化、自动化的管理工具,拥有高效稳定的交付能力,与全球知名品牌建立了紧密的合作。 EnkiLife始终坚持以技术创新为驱动,以匠心铸就品质,以品质服务客户。 我们期待与更多的全球科研工作者和企业携手合作,共同推动生命科学领域的进步与发展。
成立日期 2024-08-02 (2年) 注册资本 271万人民币
员工人数 10-50人 年营业额 ¥ 100万-300万
主营行业 生化试剂,抗体,细胞培养,癌症研究,细胞生物学 经营模式 工厂,试剂,定制,服务
  • 武汉恩玑生命科技有限公司
VIP 1年
  • 公司成立:2年
  • 注册资本:271万人民币
  • 企业类型:有限责任公司(自然人投资或控股)
  • 主营产品:细胞系;原代细胞;培养基;血清;细胞荧光染料;重组蛋白;抗体;标记试剂盒;WB试剂盒;IHC试剂盒;ELISA试剂盒;生化试剂盒
  • 公司地址:东湖新技术开发区高新大道666号C6栋
询盘

MSK1 (phospho Ser212) Rabbit Polyclonal Antibody | 兔多抗 | EnkiLife恩玑生命相关厂家报价

产品名称 价格   公司名称 报价日期
询价
VIP1年
上海切尔齐生物科技有限公司
2025-06-03
¥4543
武汉艾美捷科技有限公司
2025-10-24
询价
碧云天生物技术有限公司
2025-10-24
内容声明:
以上所展示的信息由商家自行提供,内容的真实性、准确性和合法性由发布商家负责。 商家发布价格指该商品的参考价格,并非原价,该价格可能随着市场变化,或是由于您购买数量不同或所选规格不同而发生变化。最终成交价格,请咨询商家,以实际成交价格为准。请意识到互联网交易中的风险是客观存在的
主页 | 企业会员服务 | 广告业务 | 联系我们 | 旧版入口 | 中文MSDS | CAS Index | 常用化学品CAS列表 | 化工产品目录 | 新产品列表 |投诉中心
Copyright © 2008 ChemicalBook 京ICP备07040585号  京公海网安备110108000080号  All rights reserved.