TRADD兔多抗,TRADD Rabbit Polyclonal Antibody
  • TRADD兔多抗,TRADD Rabbit Polyclonal Antibody

TRADD Rabbit Polyclonal Antibody | 兔多抗 | EnkiLife恩玑生命

价格 询价
包装 1支
最小起订量 1支
发货地 湖北
更新日期 2025-11-13
微信洽谈

产品详情

中文名称:TRADD兔多抗英文名称:TRADD Rabbit Polyclonal Antibody
品牌: EnkiLife产地: 中国
保存条件: Store at 4°C short term. Aliquot and store at -20°C long term. Avoid freeze/thaw cycles.产品类别: 抗体
是否进口: 用途: 科研
2025-11-13 TRADD兔多抗 TRADD Rabbit Polyclonal Antibody 1支/RMB EnkiLife 中国 Store at 4°C short term. Aliquot and store at -20°C long term. Avoid freeze/thaw cycles. 抗体

产品概述

产品名称(Product Name)

TRADD Rabbit Polyclonal Antibody

描述(Description)

Rabbit Polyclonal Antibody

宿主(Host)

Rabbit

应用(Application)

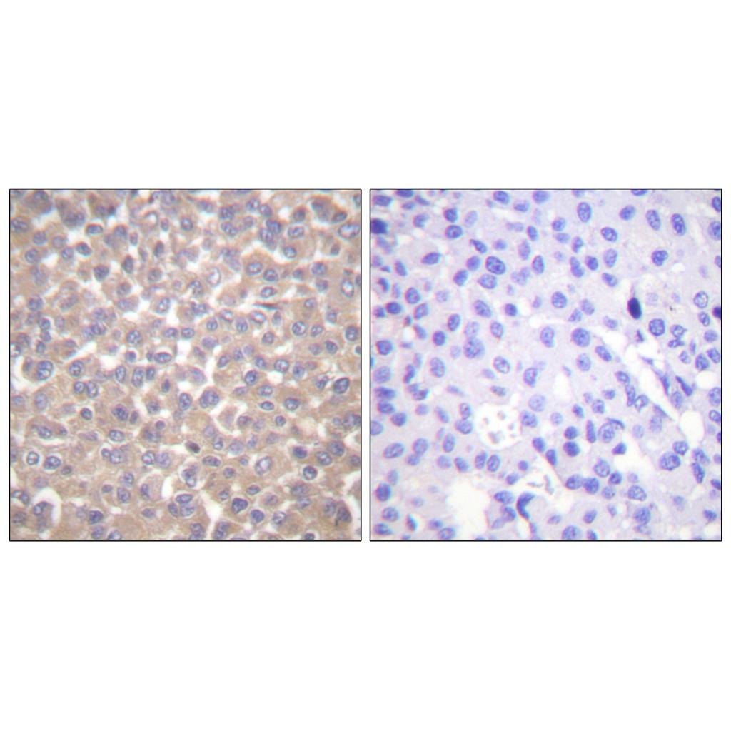
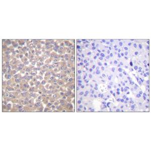
WB,IHC-P,IF-P,IF-F,ICC/IF,ELISA

种属反应性(Reactivity)

Human,Mouse,Monkey

 

产品性能

偶联物(Conjugation)

Unconjugated

修饰(Modification)

Unmodified

同种型(Isotype)

IgG

克隆(Clonality)

Polyclonal

形式(Form)

Liquid

存放说明(Storage)

Store at 4°C short term. Aliquot and store at -20°C long term. Avoid freeze/thaw cycles.

储存溶液(Buffer)

Liquid in PBS containing 50% glycerol, 0.5% BSA and 0.02% New type preservative N.

纯化方式(Purification)

Affinity purification

 

免疫原

基因名(Gene Name)

TRADD

别名(Alternative Names)

TRADD; Tumor necrosis factor receptor type 1-associated DEATH domain protein; TNFR1-associated DEATH domain protein; TNFRSF1A-associated via death domain

基因ID(Gene ID)

8717

蛋白ID(SwissProt ID)

Q15628

 

产品应用

稀释比(Dilution Ratio)

WB 1:500-1:2000, IHC-P 1:100-1:300, ELISA 1:10000, IF-P/IF-F/ICC/IF 1:50-200

蛋白分子量(Molecular Weight)

34kDa

 

研究背景

The protein encoded by this gene is a death domain containing adaptor molecule that interacts with TNFRSF1A/TNFR1 and mediates programmed cell death signaling and NF-kappaB activation. This protein binds adaptor protein TRAF2, reduces the recruitment of inhibitor-of-apoptosis proteins (IAPs) by TRAF2, and thus suppresses TRAF2 mediated apoptosis. This protein can also interact with receptor TNFRSF6/FAS and adaptor protein FADD/MORT1, and is involved in the Fas-induced cell death pathway. [provided by RefSeq, Jul 2008],domain:Requires the intact DEATH domain to associate with TNFRSF1A/TNFR1.,function:Adapter molecule for TNFRSF1A/TNFR1 that specifically associates with the cytoplasmic domain of activated TNFRSF1A/TNFR1 mediating its interaction with FADD. Overexpression of TRADD leads to two major TNF-induced responses, apoptosis and activation of NF-kappa-B.,similarity:Contains 1 death domain.,subunit:Heterodimer with TNFRSF1A/TNFR1. Interacts with DAB2IP, FADD, HIPK2, KRT14, KRT16, KRT17, KRT18, RIPK1, SQSTM1, TRAF1, TRAF2 and TRPC4AP.,tissue specificity:Found in all examined tissues.,

 

研究领域

Apoptosis_Inhibition;Apoptosis_Mitochondrial;Apoptosis_Overview;RIG-I-like receptor;Adipocytokine;

关键字: TRADD;TRADD;Rabbit;Polyclonal;Antibody;一抗

公司简介

武汉恩玑生命科技有限公司(EnkiLife)是一家深耕生命科学,专注细胞生物学和免疫学科研试剂的研发、生产与销售的生物技术企业,在全球100多个国家和地区开展业务,致力于为科研工作者提供高质量的产品和卓越的客户服务,推动生命科学的发展。 EnkiLife的产品线涵盖细胞系、原代细胞、细胞培养基、血清、细胞检测试剂盒、重组靶点蛋白、细胞因子、重组抗体、ELISA试剂盒、生化试剂盒等,并提供技术服务与定制开发,覆盖了生命科学研究的各大关键领域,包括细胞生物学、癌症、免疫学、神经科学、心血管疾病、干细胞、表观遗传学、内分泌、蛋白质组学、代谢组学等,全方位满足您的实验需求,让您享受科研的乐趣! 公司现已建立四大技术平台: EnCyto?细胞培养及检测平台:拥有细胞系库(500+)、原代细胞库(500+)、基础培养基和完全培养基(1200+) EnkiPro?重组蛋白平台:现货产品2000+,可提供定制化表达服务 EnAb?重组抗体平台:重组兔单抗(3000+),可提供定制化和标记服务 EnKits?试剂盒开发平台:可提供优质的ELISA试剂盒、配套试剂、抗体对、生化试剂盒等相关产品 EnkiLife在生产管理方面引入ISO9001质量管理体系和信息化、自动化的管理工具,拥有高效稳定的交付能力,与全球知名品牌建立了紧密的合作。 EnkiLife始终坚持以技术创新为驱动,以匠心铸就品质,以品质服务客户。 我们期待与更多的全球科研工作者和企业携手合作,共同推动生命科学领域的进步与发展。
成立日期 2024-08-02 (2年) 注册资本 271万人民币
员工人数 10-50人 年营业额 ¥ 100万-300万
主营行业 生化试剂,抗体,细胞培养,癌症研究,细胞生物学 经营模式 工厂,试剂,定制,服务
  • 武汉恩玑生命科技有限公司
VIP 1年
  • 公司成立:2年
  • 注册资本:271万人民币
  • 企业类型:有限责任公司(自然人投资或控股)
  • 主营产品:细胞系;原代细胞;培养基;血清;细胞荧光染料;重组蛋白;抗体;标记试剂盒;WB试剂盒;IHC试剂盒;ELISA试剂盒;生化试剂盒
  • 公司地址:东湖新技术开发区高新大道666号C6栋
询盘

TRADD Rabbit Polyclonal Antibody | 兔多抗 | EnkiLife恩玑生命相关厂家报价

产品名称 价格   公司名称 报价日期
询价
VIP1年
上海切尔齐生物科技有限公司
2025-05-15
¥1280
湖北艾普蒂生物工程有限公司
2025-06-04
¥3750
武汉艾美捷科技有限公司
2025-11-25
内容声明:
以上所展示的信息由商家自行提供,内容的真实性、准确性和合法性由发布商家负责。 商家发布价格指该商品的参考价格,并非原价,该价格可能随着市场变化,或是由于您购买数量不同或所选规格不同而发生变化。最终成交价格,请咨询商家,以实际成交价格为准。请意识到互联网交易中的风险是客观存在的
主页 | 企业会员服务 | 广告业务 | 联系我们 | 旧版入口 | 中文MSDS | CAS Index | 常用化学品CAS列表 | 化工产品目录 | 新产品列表 |投诉中心
Copyright © 2008 ChemicalBook 京ICP备07040585号  京公海网安备110108000080号  All rights reserved.