暂无可领优惠券
主营产品:抗体、流式、组化、蛋白、分子、细胞、生化试剂、定制服务
客服热线:15921930842 15921930842
5YR企业会员
InVivoMab 小鼠功能抗体PD-1(CD279)
¥10元
更新时间:2025/12/04
NUT (C52B1) 兔单克隆抗体
¥100元
可固定活性染料 780
InVivoMAb抗小鼠PD-L1(B7-H1)
InVivoPlus 抗小鼠 PD-1 (CD279)
抗小鼠Ly6G单克隆抗体
NLRP3(D4D8T)兔单克隆抗体
p44/42 MAPK (Erk1/2) (137F5) 兔单克隆抗体
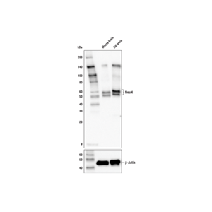
神经元核抗原 (NeuN) (E4M5P) 小鼠单克隆抗体
¥1元
PARP抗体
InVivoMAb 抗小鼠IL-6R单克隆抗体
磷酸化SMAD3 (Ser423/425) (C25A9) 兔单克隆抗体
抗小鼠IL-12 p40单克隆抗体
p53 (7F5) 兔单克隆抗体
IRAK4抗体
c-Myc (E5Q6W) 兔单克隆抗体
商家暂时不对外公布