别让WB的繁琐拖住你下班的腿!
⚡ 2h闪电通关包|⏰ 即开即用/安全免配
跑赢夕阳的人,早把移液器换成咖啡杯了~
一、WB(Western Blot)技术原理和技术流程
1. 技术原理
蛋白质印迹法 (WB) 是一种广泛使用的基于抗体的技术,用于检测细胞或组织提取物中的蛋白质表达水平。这项技术借助抗体与目的蛋白的结合作用,测量生物样品中的蛋白质水平。
常规蛋白印迹实验步骤繁多且很耗时,为此,EnkiLife(恩玑生命)全新推出的2h极速WB即用型全流程试剂盒,将实验时间缩短至2小时,让高效成为工作常态,让咖啡香和夕阳...慢慢来。

2. 技术流程
步骤一:待测样本的准备(组织、细胞、血清、渗出液等),选择目的蛋白经过WB(Western Blot)验证的抗体。
步骤二:蛋白质样本制备,根据实验要求选择制备总蛋白、膜蛋白、胞浆蛋白或核蛋白。
步骤三:SDS-PAGE凝胶电泳分离蛋白,将分离的蛋白转移到固相支持载体(NC膜,PVDF膜)。
步骤四:目标蛋白的免疫学检测(抗体孵育,识别抗原),化学发光显影蛋白条带。
步骤五:蛋白条带的定量分析,软件工具(Image J等)测定灰度值。
二、耗时对比
三、EnkiLife 2h极速WB试剂盒产品组分
存储说明:蛋白上样缓冲液及预染Marker在-20℃保存、其他试剂4℃保存,有效期1年;全套试剂若均在4℃保存,有效期至少3个月。(预制胶需 4ºC 保存,切勿置于 0ºC 以下)
四、WB(Western Blot)的科学应用
1. Western Blot(蛋白免疫印迹)在生物医学基础研究中的应用
蛋白质表达水平的检测与半定量分析:这是WB(Western Blot)最基本也是最广泛的应用。通过比较不同实验组(如不同组织、不同细胞状态、药物处理前后)样本中目标蛋白质条带的信号强度,可以判断其表达水平的变化,从而揭示基因表达调控的机制。
翻译后修饰(PTM)的研究:蛋白质的功能不仅取决于其表达量,还受到磷酸化、糖基化、乙酰化等翻译后修饰的精密调控。利用特异性识别某种修饰状态的抗体(如磷酸化特异性抗体),WB(Western Blot)可以有效地检测蛋白质的修饰状态及其动态变化,这对于研究细胞信号转导通路至关重要。
蛋白质亚细胞定位与纯化验证:通过分离细胞核、细胞质、线粒体等不同组分并进行WB(Western Blot)分析,可以确定目标蛋白质在细胞内的具体“工作岗位”。此外,在蛋白质纯化实验中,WB(Western Blot)是验证每一步纯化效果、鉴定最终产物纯度的金标准方法。
蛋白质相互作用的初步探索:免疫共沉淀(Co-IP)后结合WB(Western Blot)分析,是研究蛋白质之间相互作用的经典方法。通过“捕获”一个蛋白质及其相互作用伙伴,再用蛋白免疫印迹技术检测这些伙伴的身份,可以构建细胞内的蛋白质相互作用网络。
2. Western Blot(蛋白免疫印迹)在临床诊断与疾病研究中的应用
传染病的确认诊断:在许多传染病的诊断中,WB(Western Blot)被用作确认实验(Confirmatory Test)。例如,在 HIV(艾滋病病毒) 的检测中,当初步筛选(如ELISA)结果为阳性时,通常需要通过蛋白免疫印迹技术检测患者血清中是否存在针对多种HIV特异性蛋白的抗体,以做出最终诊断。类似的应用还包括乙型肝炎、莱姆病、梅毒螺旋体(T. pallidum)、幽门螺杆菌(H. pylori)以及单纯疱疹病毒(HSV)等多种病原体感染的诊断。
神经退行性疾病研究:WB(Western Blot)是研究阿尔茨海默病、帕金森病等神经退行性疾病发病机制的重要工具。例如,它可以用来检测脑组织中错误折叠的蛋白质(如β-淀粉样蛋白、Tau蛋白)的积累。在克雅氏病(Creutzfeldt-Jakob Disease) 等朊病毒疾病的诊断中,WB(Western Blot)也用于检测异常的朊蛋白(PrPSc)。
癌症研究与诊断:在癌症研究中,WB(Western Blot)被广泛用于检测肿瘤组织中癌基因或抑癌基因编码的蛋白质表达水平的变化,以及与肿瘤发生、发展、转移相关的信号通路分子的活性状态。这些发现有助于理解癌症的发病机制并寻找潜在的治疗靶点。
自身免疫性疾病研究:WB(Western Blot)可用于检测患者体内针对自身组织抗原的特异性抗体,为自身免疫性疾病的诊断和分型提供依据。
3. Western Blot(蛋白免疫印迹)在药物开发过程中的作用
靶点验证与作用机制研究:在药物开发的早期阶段,研究人员利用WB(Western Blot)来验证特定蛋白质是否可以作为潜在的药物靶点。在确认靶点后,WB(Western Blot)可用于评估候选药物是否能够有效调节靶点蛋白的表达量或活性(如磷酸化水平),从而阐明药物的作用机制。
药物疗效评估与优化:通过在细胞或动物模型中比较用药前后靶点蛋白或下游信号分子的变化,WB(Western Blot)能够直观地评价药物的生物学效应。这为药物的剂量选择、给药方案优化以及比较不同候选药物的效力提供了关键数据。
生物制剂的开发与质量控制:在抗体药物、基因治疗载体和疫苗等生物制剂的生产过程中,WB(Western Blot)是一项重要的质量控制工具。例如,它可以用来确认重组蛋白的正确表达、验证抗体的特异性以及检测疫苗生产过程中特定抗原的含量。
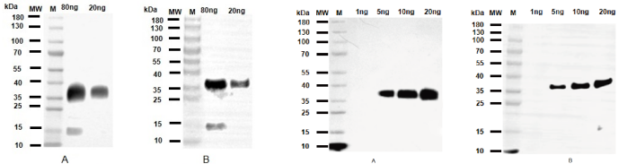
五、验证数据
Western Blot(蛋白免疫印迹)结果对比图
1. 样本:重组His-METRNL蛋白(30.7kDa) | 上样量: 80ng、20ng、10ng、5ng、1ng
2. 实验说明:
3. 结论:
A组背景更干净,B组均有轻微背景。
A组Marker条带更锐利清晰。
A组灵敏度更高,可检测更低丰度样本。
A组三次重复实验条带强度CV值仅3.8%。
EnkiLife(恩玑生命) Western Blot产品推荐:
校准级彩色预染蛋白Marker(8-180kDa)
校准级彩色预染蛋白Marker(10-250kDa)
校准级高分子彩色预染蛋白Marker(25-400kDa)