背景及概述[1-2]
上皮细胞覆盖于身体表面并衬贴于体内空腔器官腔面的细胞。其排列有明显极性,一面朝向身体表面或腔面,称游离面;一面向着深部的结缔组织,称基底面。上皮细胞具有强大的角生和更新能力。上皮组织具有保护、吸收、分泌和排泄等作用。当上皮细胞受损时,则影响机体的防御功能。小鼠乳腺上皮细胞分离自乳腺组织。
原代培养[2]
1.小鼠乳腺组织的采集与处理。
1)小鼠乳腺组织的采集。用CO2窒息法处死妊娠中期小白鼠,置于75%乙醇中浸泡消毒;将小鼠四肢固定在蜡盘上,用灭菌的手术器械呈“V”字型,沿小鼠腹中线剪开腹部皮肤,用镊子牵拉开皮肤并用大头针固定住,暴露左右各5个乳腺组织部位;尽量避开淋巴结和肌腱,将乳腺组织小心剥离,放入灭过菌的烧杯中。
2)乳腺组织的处理。用PBS液漂洗乳腺组织,以除去油脂及血液,留少许PBS液于容器内,保证乳腺组织的活力。若采用组织块培养法,则将乳腺组织剪切成小于1mm3组织块,因为体积大于1mm3的组织块在培养液中仅有处于其边缘的少量细胞能获得营养而得以生存和生长,而大部分内部细胞因营养物质穿透有限而代谢不良,且受纤维成分束缚而难以移出。若采用酶消化法,用眼科剪直接将
乳腺组织剪成均匀一致的糊状物,以便组织充分接触到消化液,消化结束后,再用PBS液漂洗2次,离心收集沉淀的细胞团。
2.小鼠乳腺上皮细胞原代培养的一般方法
1)组织块种植法。吸取已处理好的组织小块于进口培养皿底部,并按0.5cm左右的间距均匀种植。轻轻翻转培养瓶,瓶底向上,将其置于37℃、5%CO2培养箱内2h左右,使组织小块微干涸贴壁,然后将培养瓶从培养箱取出,轻轻加入少许20%生长液,使培养液缓缓浸过瓶底上的组织小块,尽量避免冲洗掉已贴壁的小块。随后将培养瓶静置于培养箱内培养,待细胞从组织块游出数量增多后,再换掉或补加培养液。
2)胶原酶消化法。将乳腺组织糜转入离心管并加入5倍体积的0.2%胶原酶Ⅳ消化液于37℃中进行消化。每0.5h振荡1次或用吸管吹打1次,使细胞分离。3h左右消化液中已无明显大块组织,用移液管将消化的乳腺组织吹散,100目不锈钢细胞筛网过滤除去杂质;3次离心(1500r/min,2min)清洗收集细胞,用少量生长培养液将收集的细胞吹成单细胞和小细胞团块,转入进口培养皿或培养板,并
置于5%CO2、37℃培养箱中培养,视细胞生长状况换液或传代。
3.纯化方法。上皮细胞培养中常混杂有成纤维细胞,培养时其生长速度往往超过上皮细胞,且难纯化,随传代的不断进行,上皮细胞逐渐被生长较快的成纤维细胞取代。同时,上皮细胞难以在体外长期生存,因此,纯化和延长生存时间是培养关键。利用成纤维细胞和上皮细胞对胰蛋白酶敏感性不同及贴壁时间差异,对原代培养的乳腺上皮细胞进行纯化培养,即利用上皮细胞与培养瓶的结合力比成纤维细胞牢固的特点,用胰酶/EDTA溶液轻微消化去除成纤维细胞。但在实
际操作中,该方法很难在小鼠乳腺上皮细胞的培养中完成纯化。通过密度梯度离心收集腺上皮细胞,可得到较纯净的上皮细胞,但该方法往往损失大量细胞。
通过加入压绷氨酸或霍乱毒素选择性培养液,以促进上皮细胞的生长和抑制成纤维细胞的增殖;在对牛乳腺上皮细胞进行体外培养时,用细胞刮刀刮去大部分成纤维细胞。在组织块培养过程中利用组织块转培法,即选择以上皮细胞生长为主的组织块,用灭菌铜针将其挑出,转移至另一培养瓶中进行培养;结合胰酶/EDTA消化法除去成纤维细胞,从而得到了上皮细胞富集的细胞系。
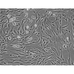
4.结果
乳腺细胞在铺有人工基底物或塑胶基底上生长和繁殖,因此在培养小鼠乳腺上皮细胞时可使用进口细胞培养器材。按照乳腺上皮细胞原代培养的一般方法培养出来的细胞中,除了乳腺上皮细胞外,还含有大量的成纤维细胞(图1a);经胰蛋白酶、胶原酶分段消化,并用5%PBS洗纯后的细胞贴壁生长后,在镜下可见细胞形态均一,呈岛屿状或铺路石样生长,且在乳腺上皮细胞岛边缘,几乎无扁平、多突起呈星状的成纤维样细胞(图1b)。

相关研究[3-4]
miR-138对小鼠乳腺上皮细胞的作用及其调控的靶序列。miRNA是一类长约20~25nt的内源性非编码蛋白的小RNA.miRNAs的作用遍及生命体的发生、生长、发育、分化和死亡等过程,但目前对miRNA在细胞中的确切功能和其如何发挥作用知之甚少。应用miRNA基因沉默技术,抑制小鼠乳腺上皮细胞miR-138的表达,应用荧光定量PCR、Westernblot、细胞活力分析技术等分析mi-138的表达及miR-138对小鼠乳腺上皮细胞的影响,结果显示,miR-138抑制后细胞活性增强(P<0.05),PRL-R蛋白表达增强(P<0.05),信号转导通路分子STAT5、MAPK表达加强.研究认为,miR-138抑制小鼠乳腺上皮细胞的增殖.miR-138在乳腺上皮细胞调控的靶序列是PRL-R,抑制其表达而发挥作用.miR-138通过调控STAT5、MAPK信号转导通路而调控乳腺上皮细胞增殖。
中草药提取物对小鼠乳腺上皮细胞增殖的影响。采用组织块种植法培养3月龄、分娩后3~5d的昆明种远交系小白鼠的乳腺组织,采用胰蛋白酶消化法获得相对纯化的小鼠乳腺上皮细胞,并运用SDS-PAGE法进行鉴定。制备5味中草药(重楼、紫花地丁、木芙蓉、半枝莲、泽兰叶)及治疗奶牛乳房炎用中草药复方提取物,分别作用于对数生长期的乳腺上皮细胞5d,用四甲基偶氮唑盐法(MTT法)分析细胞活力。结果将通过组织块种植法与胰蛋白酶消化法相结合,可得到纯化的有酪蛋白分泌功能的乳腺上皮细胞;中草药重楼、紫花地丁、木芙蓉、半枝莲、泽兰叶提取物在其质量浓度分别为8,40,40,1.6,8mg/mL时,对小鼠乳腺上皮细胞增殖作用最强;除了紫花地丁,其他4种中草药提取物在其质量浓度为200mg/mL时,对小鼠乳腺上皮细胞增殖的抑制作用最强。中草药复方提取物质量浓度为8~200mg/mL时,对小鼠乳腺细胞有显著促进作用,随着质量浓度的增加,促增殖作用减弱。因此中草药单味及复方提取物在一定质量浓度下对乳腺上皮细胞增殖产生了促进或抑制作用,且中草药复方提取物的适用质量浓度范围较广。
主要参考资料
[1] 儿科学辞典
[2] 小鼠乳腺上皮细胞体外原代培养方法研究进展
[3] miR-138对小鼠乳腺上皮细胞的作用及其调控的靶序列
[4] 中草药提取物对小鼠乳腺上皮细胞增殖的影响