背景及概述
菝葜皂苷元(sarsasapogenin)是菝葜(Smilax属植物,如光叶菝葜、土茯苓等)中的主要活性成分之一,属于甾体皂苷类化合物。它通过水解菝葜中的皂苷成分获得,具有抗炎、调节免疫等作用,是这类中药发挥药效的关键物质基础。
来源与提取
菝葜皂苷元主要存在于百合科植物菝葜的根茎中,尤其是土茯苓(Smilaxglabra)的干燥根茎。在传统炮制或现代药物提取过程中,菝葜中的皂苷类成分(如菝葜皂苷)经水解后生成菝葜皂苷元,成为可被利用的有效成分。

图1 菝葜皂苷元性状图
化学特性与药理作用
菝葜皂苷元属于甾体皂苷元,具有四环三萜结构,亲脂性较强。
研究表明,其药理作用包括:
抗炎:抑制炎症因子(如TNF-α、IL-6)释放;
免疫调节:增强巨噬细胞活性,平衡免疫功能;
抗肿瘤:诱导肿瘤细胞凋亡(部分实验支持);
抗菌:对金黄色葡萄球菌等有一定抑制作用。
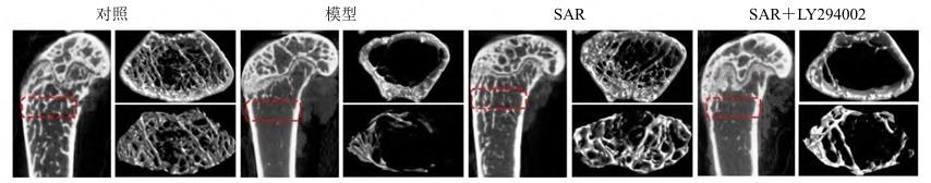
参考文献[1]报道,究通过体内外实验证实,菝葜皂苷元可通过抑制成骨细胞铁死亡而促进骨生成而延缓糖皮质激素性骨质疏松症GIOP的进展,其作用机制可能与PI3K/Akt信号通路的活化有关。

图2 菝葜皂苷元促进骨形成Micro-CT图像
传统与现代应用
在中医中,菝葜(土茯苓)常用于治疗风湿痹痛、湿热淋浊、痈肿疮毒等症。现代研究将其用于抗炎药物、免疫调节制剂的开发,部分复方中药(如治疗痛风的方剂)也依赖其活性成分。
注意事项
菝葜皂苷元相关制剂可能引起胃肠道不适,长期使用需监测肝肾功能。孕妇、哺乳期妇女及过敏体质者慎用,具体用药需遵医嘱。若涉及含该成分的处方药(如某些抗炎中成药),需在医生指导下使用,不可自行调整剂量或疗程。
总结
菝葜皂苷元是菝葜类中药的核心成分,其药理活性支撑了这类药材的传统用途与现代开发。使用时需结合体质和病情,避免盲目用药。
参考文献
[1]姜幸福,党琦,王勤俭,徐冬康,王阳明,董良杰.菝葜皂苷元通过激活PI3K/Akt通路抑制成骨细胞铁死亡减轻糖皮质激素性骨质疏松症.[J]中草药.2025-07-04.