别再让WB偷走你的晚霞!
即用试剂盒解放双手,2小时终结战斗。
现在起,慢煮咖啡的时间比实验更漫长~
EnkiLife即用型Western Blot解决方案,实验时间缩短至2小时,重复性优异,结果稳定可靠。

一、EnkiLife-2h极速WB试剂盒与传统WB实验流程对比

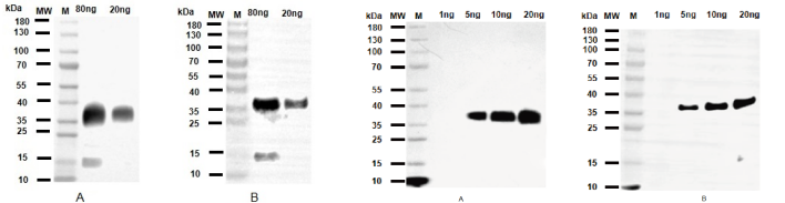
二、2h极速WB即用型全流程试剂盒验证数据:
1. Western Blot结果对比图:

2. 样本:重组His-METRNL蛋白(30.7kDa) | 上样量: 80ng、20ng、10ng、5ng、1ng
3. 实验说明:
4. 结论:
A组背景更干净,B组均有轻微背景。
A组Marker条带更锐利清晰。
A组灵敏度更高,可检测更低丰度样本。
A组三次重复实验条带强度CV值仅3.8%。
EnkiLife WB产品推荐:
校准级彩色预染蛋白Marker(8-180kDa)
校准级彩色预染蛋白Marker(10-250kDa)
校准级高分子彩色预染蛋白Marker(25-400kDa)