概述
替拉替尼化学名称为17-丙烯胺基-17-去甲氧基格尔德霉素,简称17-AAG,是一种热休克蛋白90(HSP90)抑制剂,能够靶向性抑制肿瘤源性的HSP90,使其效应蛋白即多条细胞信号转导通路的关键调节蛋白降解,从而使细胞生长、分化受抑制,引起细胞凋亡,抑制肿瘤生长。大量试验证明,替拉替尼是一种独特的靶向性治疗肿瘤的药物,能有效抑制多条维持肿瘤增殖和生存的细胞信号转导途径。此外,它还能和放疗、传统化疗药物联合应用协同发挥抗肿瘤作用[1]。

应用
药物化学领域报道了一种抗癌缓释凝胶注射剂,包括含血管抑制剂的缓释微球、两亲性嵌段共聚物、溶媒和释放调节剂。其中,两亲性嵌段共聚物和不含有机溶剂的溶媒的混合物具有温敏的凝胶化特性,注射剂体内注射后可转变成不流动的且可生物降解吸收的水不溶性凝胶,后者能将所含药物在肿瘤局部缓慢释放数周到数月。瘤内或瘤周注射能够明显降低药物的全身反应,可用于治疗不同阶段的肿瘤。血管抑制剂选自SU5416、SU6668、伯舒替尼、达沙替尼、厄罗替尼、凡德他尼、吉非替尼、卡纽替尼、拉帕替尼、来妥替尼、马赛替尼、伏他拉尼、莫立替尼、坦度替尼、尼罗替尼、马立马司他、尼拉替尼、培立替尼、替拉替尼、舒尼替尼、索拉非尼、替匹法尼、西罗莫司、伊马替尼、来那度胺和沙利度胺等[2]。
有关研究
为了对替拉替尼对人乳腺 癌细胞生长的影响及相关机制进行初步探讨,研究人员利用MTT法检测了药物对人乳腺癌细胞SKBr3的生长抑制作用,流式细胞术分析细胞凋亡及细胞周期变化,免疫 组化法检测药物处理前后SKBr3细胞中HER2的表达变化情况。
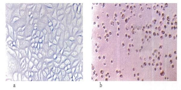
结果发现,替拉替尼对人乳腺癌细胞株SKBr3生长有抑制作用,随着用药浓度的增加,抑 制作用明显增强,呈明显的剂量依赖性,其IC50浓度为3.09μg/ml。SKBr3细胞经替拉替尼处理48h后,流式细胞仪分析可见在0,0.625,1.250,2.500,5.000和10.000μg/ml浓度下,SKBr3细胞的凋亡率分别为(1.03±0.08)%,(3.68±0.67)%,(7.06±1.12)%,(11.23±1.36)%,(20.32±1.98)%和 (31.65±2.96)%;G0/G1期细胞分别为58.61%,54.34%,49.55%,43.73%,35.52%和27.46%;S期细胞分 别为29.57%,25.21%,19.65%,22.98%,19.71%和15.46%;G2/M期细胞分别为11.82%,20.45%,30.18%,33.29%,44.77%和57.08%;同时替拉替尼处理后的SKBr3细胞人类表皮生长因子受体2(HER2)表达明显减少。故可得出结论,替拉替尼能够抑制人乳腺癌细胞SKBr3的生长并促进其凋亡,下图为替拉替尼处理前后的乳腺癌细胞图象(a图为未用替拉替尼处理乳腺癌细胞,b图为使用替拉替尼处理癌细胞),提示其为一种很有前景的抗肿瘤药物[3]。

参考文献
[1]姜新宇,陈道桢.17-丙烯胺基-17-去甲氧基格尔德霉素研究进展[J].国际肿瘤学杂志, 2006.DOI:CNKI:SUN:GWZL.0.2006-09-003.
[2]毛海婷,王明华,等.一种抗癌缓释凝胶注射剂:CN101336890A.
[3]陈道桢,刘璐,姜新宇,孙晋,黄鹰.17-丙烯胺基-17-去甲氧基格尔德霉素对乳腺癌细胞的杀伤作用[J].医学研究生学报,
2006, 19(12):5.DOI:10.3969/j.issn.1008-8199.2006.12.002.